사이트맵 버튼
로고
오픈채팅 전화걸기
왼쪽
Woman’s Medical examination 성병검진 여성의 품격을 높이는 곳! 여노피산부인과
오른쪽
성병검진 Sexually Transmitted Disease
흔히 성관계 이후 남자친구가 소변보기 힘들어하고 요도 분비물이 고름처럼 나온다면 비뇨기과에서 요도염 관련 검사나 치료를 받게 됩니다.
이 경우 비뇨기과 검진상 세균 감염이 확인되지 않을 경우는 여성측 파트너에게 성병검사를 받게 함으로써
정확한 원인균 파악을 한 후 파트너간 동시 치료가 필요한 경우라면 증상이 없더라도 치료를 하는 것이 좋습니다.
보통 무증상 여성이 확인하게 되는 성병검사 종류로는 임질, 비임균성 요도염의 원인균(클라미디어, 유레아플라즈마, 마이코플라즈마 감염 등),
그 외 트리코모나스 질염이나 기타 성병성 바이러스 감염 유무를 체크
하게 됩니다.
성기헤르페스 HSV infection
외음부나 질 점막에 따갑고 쓰라린 수포가 생긴 경우
음부포진(헤르페스)을 의심해 볼 수 있습니다.
가렵고 얼얼한 증상으로 시작되다가 통증이 동반된 작은 수포들이 생기 후 터지면서 짓무르고 이차적인 세균감염을 조장하는데
질 점막이나 항문주위, 자궁에까지 병소를 유발하는 단순포진바이러스(HSV) 2형 감염에 의한 것으로 활동성 병변을 가지고 있는
파트너로부터 직접적인 성접촉 후에 나타나는 경우가 대부분
이지만 가끔은 오럴 섹스를 통해 구강헤르페스가 음부에 감염되기도 하므로
성관계시 남성의 성기에 수포나 작은 돌기 같은 이상 병소가 있다면 성관계를 피하거나 콘돔 사용을 하는 것이 안전합니다.
포진바이러스에 노출된 후 대개는 1~3주 후, 보통 6개월 이내에 병변이 나타나지만 수개월, 수년 동안의 잠복기를 가지다가
면역력이 약화되거나 스트레스, 불규칙한 식사 및 부족한 수면 시간으로 신체 균형이 깨지면서 잦은 재발이 있을 수 있습니다.
병변이 확인되면 산부인과 진료 후 아시클로버(조비락스) 연고나 약으로 적극적인 치료를 받으셔야 합니다.
바이러스에 의해서 생기는 질환이기 때문에 현재까지는 특별한 완치 요법은 없고 증상의 호전을 기대해서 항바이러스 연고를 바르거나
항바이러스 치료제를 먹는 방법으로 치료합니다. 별다른 후유증은 없으나 임신 전 감염은 태아에게 문제되지는 않으나
임신 중에는 태아의 실명, 유산, 사망 등의 합병증이 보고된 바 있으므로 임신 중일 경우 더욱 각별한 주의가 요구됩니다.
임신 말기에 헤르페스 증상이 나타날 경우 질식 분만으로 인해서 태아에게 감염되면 치명적일 수 있어서 제왕절개 수술이 필요하게 되는 점은 있습니다.
따라서 감염된 남성파트너와 접촉하지 않도록 하거나 콘돔으로 예방하는 것이 도움이 되며 평소 면역강화에 신경 쓰는 것이 중요합니다.
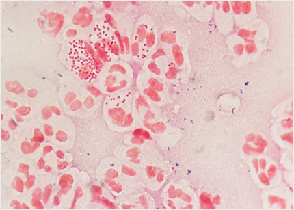
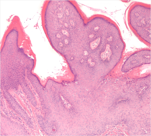
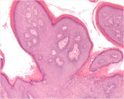
콘딜로마
Condyloma
인유두종 바이러스(HPV)가 원인으로
성기나 항문 주변에 닭벼슬 모양으로 번지는 사마귀
약물 치료나 레이져, 혹은 고주파 치료로 쉽게 치료가 되는 반면
근본적인 원인 치료가 안되기 때문에 재발이 잘 됩니다.
최근에는 HPV 백신 접종을 통해 예방이 어느 정도 가능합니다.
콘딜로마가 생겼다면 즉시 치료를 받아야 하는데 자궁 경부에 고위험군
HPV 감염이 있을 경우는 자궁경부암을 일으킬 수도 있으므로 반드시 HPV검사 및
자궁 경부 세포진 검사를 받고 향후에도 정기적인 산부인과 검진
을 받아야 합니다.
콘딜로마 Condyloma
약물 치료나 레이져, 혹은 고주파 치료로 쉽게 치료가 되는 반면
근본적인 원인 치료가 안되기 때문에 재발이 잘 됩니다.
최근에는 HPV 백신 접종을 통해 예방이 어느 정도 가능합니다.
콘딜로마가 생겼다면 즉시 치료를 받아야 하는데 자궁 경부에 고위험군
HPV 감염이 있을 경우는 자궁경부암을 일으킬 수도 있으므로 반드시 HPV검사 및
자궁 경부 세포진 검사를 받고 향후에도 정기적인 산부인과 검진
을 받아야 합니다.
콘딜로마 Condyloma
약물 치료나 레이져, 혹은 고주파 치료로 쉽게 치료가 되는 반면
근본적인 원인 치료가 안되기 때문에 재발이 잘 됩니다.
최근에는 HPV 백신 접종을 통해 예방이 어느 정도 가능합니다.
콘딜로마가 생겼다면 즉시 치료를 받아야 하는데 자궁 경부에 고위험군
HPV 감염이 있을 경우는 자궁경부암을 일으킬 수도 있으므로 반드시 HPV검사 및
자궁 경부 세포진 검사를 받고 향후에도 정기적인 산부인과 검진
을 받아야 합니다.
클라미디아 Chlamydia
클라미디어 감염은 성관계를 통해 클라미디어 트라코마티스
(Chlamydia trachomatis)라는 세균에 감염된 이후 증상을
전혀 느끼지 못하거나 증상이 있더라도 대부분 경미한 증상이 대부분이지만
감염 1주~3주 후부터 고름 같은 화농성 분비물이 급증하고
하복부 통증이 나타나며 요도염이나 자궁 경부염, 난관염,
자궁외 임신 등을 일으킬 수 있다고 알려진 질환입니다.
급성 골반염의 5~10% 정도를 차지할만큼 흔한 성병성 세균 감염으로
유전자 증폭 검사(PCR)를 통해 쉽게 확인이 되 초기 감염의 경우는 1회 요법의
항생제나 일주일간의 경구 항생제만으로도 매우 효과적으로 치료
가 됩니다.
그러나 증상이 없는 경우가 많아서 자신도 모르게 파트너간 전염이 되고
적절한 치료 없이 방치될 경우 만성 골반염
으로 이어지므로 가임기 여성에서는
불임이나 임신중 미숙아, 사산, 또는 산도를 통한 신생아 전염이 문제가 되는
질환입니다. 흔히 임균과 자주 동반되므로 클라미디어 감염이 확인되면
추가적인 성병검사를 해 보는 것이 좋습니다.
클라미디아 Chlamydia
클라미디어 감염은 성관계를 통해 클라미디어 트라코마티스
(Chlamydia trachomatis)라는 세균에 감염된 이후 증상을
전혀 느끼지 못하거나 증상이 있더라도 대부분 경미한 증상이 대부분이지만
감염 1주~3주 후부터 고름 같은 화농성 분비물이 급증하고
하복부 통증이 나타나며 요도염이나 자궁 경부염, 난관염,
자궁외 임신 등을 일으킬 수 있다고 알려진 질환입니다.
급성 골반염의 5~10% 정도를 차지할만큼 흔한 성병성 세균 감염으로
유전자 증폭 검사(PCR)를 통해 쉽게 확인이 되 초기 감염의 경우는
1회 요법의 항생제나 일주일간의 경구 항생제만으로도
매우 효과적으로 치료
가 됩니다.
그러나 증상이 없는 경우가 많아서 자신도 모르게 파트너간
전염이 되고 적절한 치료 없이 방치될 경우 만성 골반염
으로 이어지므로
가임기 여성에서는 불임이나 임신중 미숙아, 사산, 또는 산도를 통한
신생아 전염이 문제가 되는 질환입니다.
흔히 임균과 자주 동반되므로 클라미디어 감염이 확인되면
추가적인 성병검사를 해 보는 것이 좋습니다.
클라미디아 Chlamydia
클라미디어 감염은 성관계를 통해 클라미디어 트라코마티스
(Chlamydia trachomatis)라는 세균에 감염된 이후 증상을
전혀 느끼지 못하거나 증상이 있더라도 대부분 경미한 증상이 대부분이지만
감염 1주~3주 후부터 고름 같은 화농성 분비물이 급증하고
하복부 통증이 나타나며 요도염이나 자궁 경부염, 난관염,
자궁외 임신 등을 일으킬 수 있다고 알려진 질환입니다.
급성 골반염의 5~10% 정도를 차지할만큼 흔한 성병성 세균 감염으로
유전자 증폭 검사(PCR)를 통해 쉽게 확인이 되 초기 감염의 경우는
1회 요법의 항생제나 일주일간의 경구 항생제만으로도
매우 효과적으로 치료
가 됩니다.
그러나 증상이 없는 경우가 많아서 자신도 모르게 파트너간
전염이 되고 적절한 치료 없이 방치될 경우 만성 골반염
으로 이어지므로
가임기 여성에서는 불임이나 임신중 미숙아, 사산, 또는 산도를 통한
신생아 전염이 문제가 되는 질환입니다.
흔히 임균과 자주 동반되므로 클라미디어 감염이 확인되면
추가적인 성병검사를 해 보는 것이 좋습니다.
임질
N. gonorrhea
임균(Neisseria gonorrhea)에 의해 전염되는
질환으로 무분별한 성관계나 오럴섹스, 항문 성교후
클라미디어 감염과 유사한 부위에 감염이 됩니다.
감염이 되면 전혀 증상이 없는 경우도 있고 소변을 볼 때 통증이 있거나
일부에서는 화농성 분비물이 많아집니다.
약이나 주사제를 이용한
항생제 치료로 이 역시 치료는 잘 되지만 파트너간 동시치료를 필요로 하고
완치가 되기까지는 성관계를 피해야 합니다.
항생제 치료에 반응이 좋으나
치료를 방치하거나 만성화되는 경우 난관염으로 인한 난관 폐색, 불임,
만성 골반통, 자궁 외 임신 등의 후유증을 초래할 수 있습니다.
임질 N. gonorrhea
임균(Neisseria gonorrhea)에 의해 전염되는
질환으로 무분별한 성관계나 오럴섹스, 항문 성교후
클라미디어 감염과 유사한 부위에 감염이 됩니다.
감염이 되면 전혀 증상이 없는 경우도 있고 소변을 볼 때 통증이 있거나
일부에서는 화농성 분비물이 많아집니다.
약이나 주사제를 이용한
항생제 치료로 이 역시 치료는 잘 되지만 파트너간 동시치료를 필요로 하고
완치가 되기까지는 성관계를 피해야 합니다.
항생제 치료에 반응이 좋으나
치료를 방치하거나 만성화되는 경우 난관염으로 인한 난관 폐색, 불임,
만성 골반통, 자궁 외 임신 등의 후유증을 초래할 수 있습니다.
임질 N. gonorrhea
임균(Neisseria gonorrhea)에 의해 전염되는
질환으로 무분별한 성관계나 오럴섹스, 항문 성교후
클라미디어 감염과 유사한 부위에 감염이 됩니다.
감염이 되면 전혀 증상이 없는 경우도 있고 소변을 볼 때 통증이 있거나
일부에서는 화농성 분비물이 많아집니다.
약이나 주사제를 이용한
항생제 치료로 이 역시 치료는 잘 되지만 파트너간 동시치료를 필요로 하고
완치가 되기까지는 성관계를 피해야 합니다.
항생제 치료에 반응이 좋으나
치료를 방치하거나 만성화되는 경우 난관염으로 인한 난관 폐색, 불임,
만성 골반통, 자궁 외 임신 등의 후유증을 초래할 수 있습니다.
성병예방 STD Prevention
성병성 질환은 상호 이해 관계 하에 건강한 성관계를 함으로써 충분히 예방이 가능합니다.
최근 혼전 성관계가 일반화되고 성조숙과 함께 성문화도 매우 개방적이어서
낯선 사람과의 무분별한 성관계를 통해 자신도 모르는 사이 여러 종류의 성병에 쉽게 노출이 될 수 있습니다.
다수의 섹스 파트너를 피하고 생리 중 성관계나 항문 성교와 같은 비정상적인 성행위는 가급적 피하는 것이 좋습니다.
또한 콘돔 사용시 80~90% 이상의 성병예방이 충분히 가능하므로 적극 활용하는 것도 좋은 방법입니다.
성병은 결코 면역이 생기지 않기 때문에 성병이 확인되면 숨기지 말고 파트너에게도 알림으로써 적절한 검사와
적극적인 동시치료를 통해 재감염을 피해야 합니다. 최근에는 항생제를 쉽게 구할 수 있어서
정확한 진단없이 약물을 남용함으로써 항생제 내성균주도 증가하고 있는 실정입니다.
의심스러운 증상이 있을 경우 반드시 전문의의 진료를 통해 정확한 진단과 조기치료를 받는 것이 무엇보다 중요합니다.